Полезно
Граммидин или гексорал: что лучше при ангине?
00
Ангина – неприятное заболевание, сопровождающееся болезненными ощущениями в горле, лихорадкой и общим недомоганием. Одним из основных способов борьбы с
Про ножи
Полезно
Нейтрофильное воспаление у кошек: причины, симптомы и лечение
00
У кошек, как и у любых других животных, возможны различные заболевания и воспалительные процессы в организме. Нейтрофильное воспаление является одним из
Про ножи
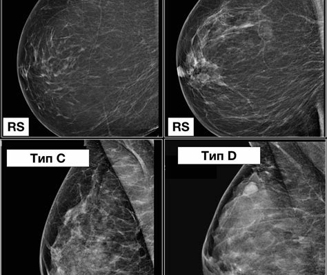
Полезно
Гландулярная ткань молочной железы: что это и как она функционирует
00
Гландулярная ткань молочной железы — это основная компонента молочных желез, отвечающая за производство и выведение молока у женщин.
Про ножи
Полезно
Наваль: что это на иврите?
00
Иврит, основным языком народа Израиля, является одним из самых красивых и богатых языков мира. Изучение иврита может открыть множество новых возможностей
Про ножи
Полезно
Витязево или Лазаревское: что лучше для детей?
00
Когда наступает лето, многие семьи задумываются о том, куда отправиться на отдых со своими детьми. Черное море привлекает своими красивыми пляжами и теплым климатом.
Про ножи